Invisalign Boire Avec Paille

Invisalign Boire Avec Paille. Aligneurs Invisalign & Spark Bruxelles, Belgique DIAN Les bulles et la carbonatation peuvent en effet déloger les gouttières et les déplacer. Cela minimise le contact du liquide avec vos aligneurs et préserve leur clarté.

Invisalign, comment ça marche
Invisalign, comment ça marche from www.dr-bouhnik-orthodontie.com

Le brossage des dents est un élément essentiel de tout traitement Invisalign bien conduit Pendant toute la durée de votre prise en charge (et après !), assurez-vous d'avoir une hygiène bucco-dentaire irréprochable par un brossage soigneux après chaque repas.

Invisalign, comment ça marche

Nous vous expliquons dans cet article tout ce que vous pouvez manger et boire durant un traitement orthodontique avec des aligneurs transparents Invisalign Nous vous expliquons dans cet article tout ce que vous pouvez manger et boire durant un traitement orthodontique avec des aligneurs transparents Invisalign Transform your smile with NewSmile aligners, designed for convenience, comfort, and speed.

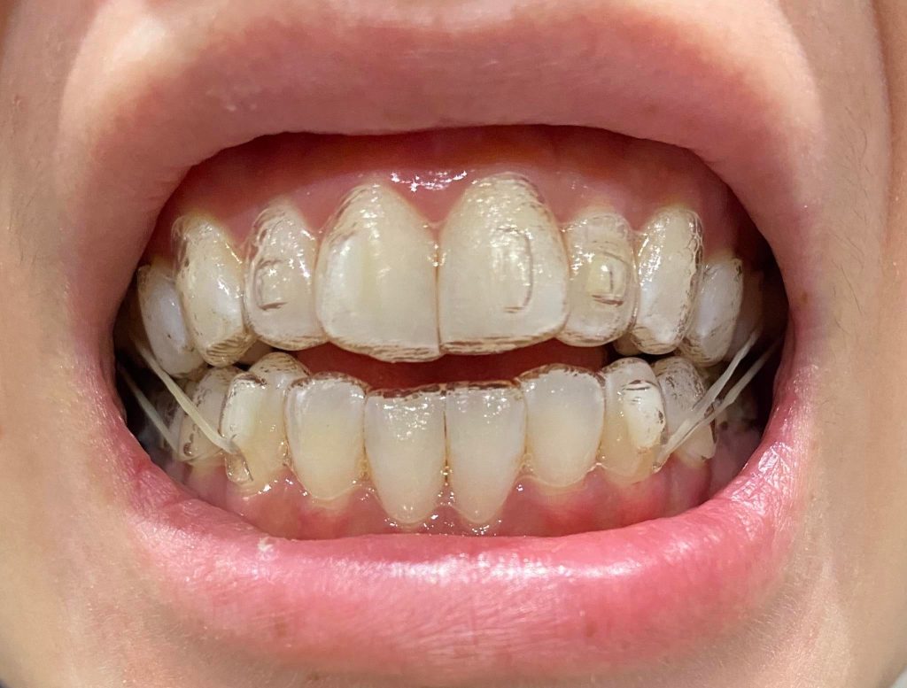
Invisalign Everything You Need To Know. Peut-on aussi boire de l'eau gazeuse avec Invisalign ? Bien que cela puisse sembler inoffensif, il n'est pas recommandé de boire des boissons gazeuses comme de l'eau pétillante lorsque l'on porte des gouttières Invisalign Boire avec une paille semble être une solution efficace pour réduire le contact entre les boissons et les gouttières dentaires Invisalign

Invisalign Attachments Explained Procedure, Care & More. Achieve straighter teeth in just 4-6 months from the comfort of your home, at 75% cheaper than traditional braces.With an easy 3-step process, including an impression kit, 3D treatment preview, and all-inclusive aligner package with free retainers and teeth whitening, there's never been a better time. L'un des principaux avantages du traitement orthodontique avec des aligneurs transparents Invisalign est qu'il n'y a aucune restriction.